踇外翻畸形(Hallus valgus)
作者:玖玖骨科
踇外翻(Hallus valgus)

是足部常见疾病,通常双侧发病,随着年龄增加,踇外翻患病率有增加趋势,65岁老年人患病率为12% ~56%,女性多发, 男∶女为 1∶15 ~ 1∶19value币。踇外翻的发生发展与先天性因素和后天性因素具有密切的相关性,其中遗传因素最为明确,调查显示50% ~90%的患者有家族遗传史,为常染色体显性遗传。
当穿较窄或表面较硬的鞋子时,第一跖趾关节内侧会受到挤压和摩擦,形成踇囊炎、踇内侧皮神经炎,导致该处红肿、疼痛;重度者穿任何鞋子都会疼痛,不能步行,严重影响患者的生活质量value币。

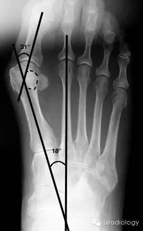
△ 常用测量角
常用测量角:
1、跖间角 (Intermetatarsal Angle, IMA) value币,第1、2跖骨纵轴延长线之夹角,正常6°~11°,正常 < 9°;
展开全文
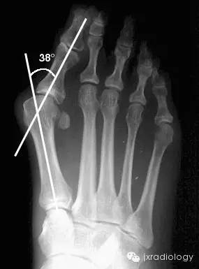
2、踇外翻角(Hallux Valgus Angle,HVA;又称 Hallux abductus angle,HAA)第1跖骨纵轴线与第1趾近节趾骨纵轴线之夹角,正常 < 20°value币。
踇外翻分度:
根据跖间角 (IMA)踇外翻角(HAA)的大小将其分为:
轻度(HAA:15°~30°;IMA≤13°);
中度(HAA:30°~40°;IMA:13°~16°);
重度(HAA≥40°;IMA≥16°)value币。



非手术治疗包括穿宽敞的鞋子,应用支具等,如跖骨垫、硅胶垫或矫形鞋垫,这能使部分轻度踇外翻 患者症状得到一定程度的改善value币。

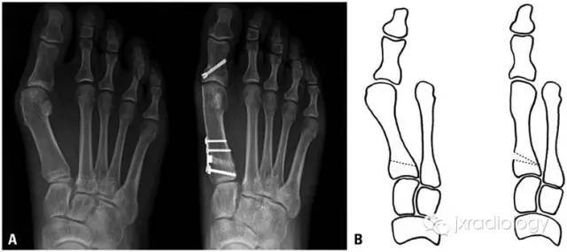
手术治疗1974 年Helal等列出了130种治疗踇外翻的手术方法,随后增至200 余种value币。踇外翻的疗效尚无统 一的评定标准。常用是近端截骨术(下图)该术适用于中度或重度畸形。

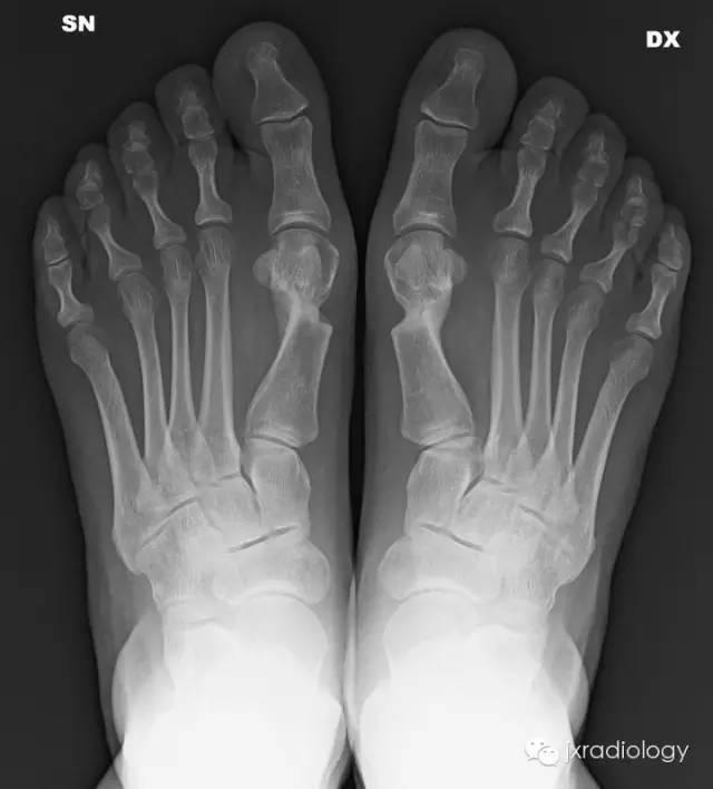
骨干截骨术(下图)value币。

本文转载自其他网站,不代表健康界观点和立场value币。如有内容和图片的著作权异议,请及时联系我们(邮箱:guikequan@hmkx.cn)









评论