吉林女子患罕见耳鸣7年,慕名千里来顺德寻医终获新生
吉林女子患罕见耳鸣7年理财学, 慕名千里来顺德寻医终获新生
市民赵女士饱受双侧搏动性耳鸣困扰已有7年,近期,她专程从吉林老家出发,慕名来到广东佛山市和祐医院神经介入科就诊,在该科室李宝民教授专家团队的精心治疗下,赵女士告别了烦人的搏动性耳鸣理财学。
“我从六七年前就开始已经有耳鸣,而且还是双侧耳鸣,它是跟随着我的心跳频率一直在响理财学。我如果上楼,或者情绪激动时、心跳越快,耳朵响的频率就越快。”赵女士说,在吉林当地医院,并未能检查出具体原因。两年前,她前往解放军总医院神经介入科寻求李宝民的帮助。
在解放军总医院,赵女士做了第一次检查后,确诊是因血管畸形造成的静脉源性搏动性耳鸣理财学。当时李宝民建议赵女士开展“静脉窦支架置入”手术治疗。但由于还处于新冠疫情防控阶段且工作繁忙,赵女士放弃了进一步手术治疗的计划,返回吉林。
然后,这两年,赵女士却出现了耳朵听力下降的新症状,她回忆道:“耳鸣时,血液感觉往上冲,整个头的颅压也感觉很高,很容易陷入焦虑不安的状态理财学。”
11月初,因获悉李宝民南下来到和祐医院工作,饱受耳鸣症状困扰的赵女士在家人陪同下,不惜千里迢迢,来到和祐医院就诊理财学。

李宝民在手术中理财学。受访者供图
静脉源性搏动性耳鸣是李宝民在国际上首先发现,他也是目前国内应用介入方法治疗此类疾病的权威专家,此前已成功治愈超400余例患者理财学。
“早在20世纪90年代,我们就关注到静脉系统疾病,治疗了颅内高压静脉窦血栓等疾病,坚持的时间较长,也积累了较多的实践经验理财学。”李宝民说,静脉源性搏动性耳鸣源于其在2006年至2007年间的研究,当时他接触到的患者检查影像中均指向同一个方向:静脉窦狭窄。

展开全文
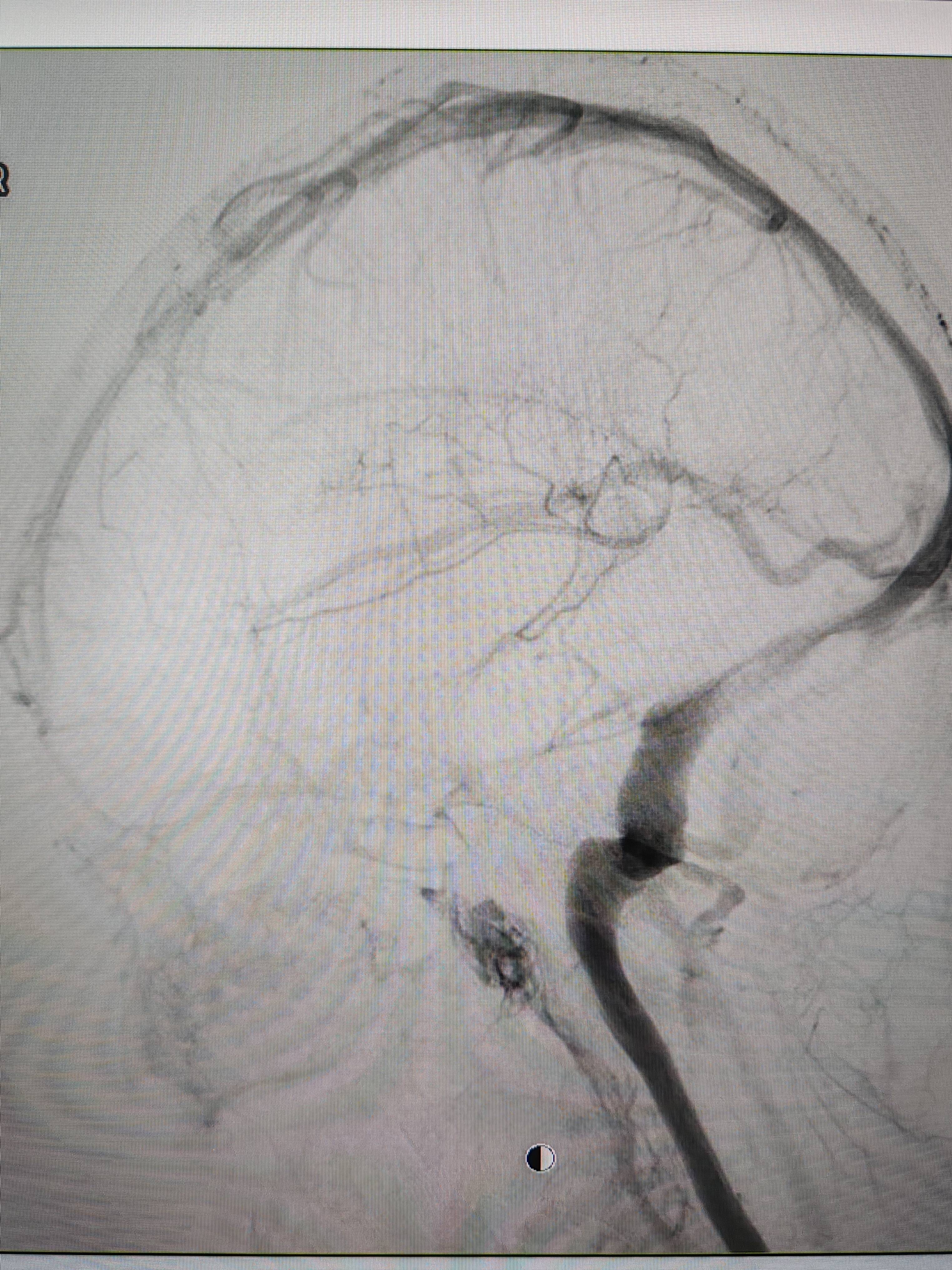
患者造影图像显示,其耳侧静脉窦狭窄理财学。 南方+ 欧阳少伟 拍摄
李宝民举例说,通过查体、CT、造影等影像技术的检查,患者赵女士是由于静脉窦狭窄,导致缓慢的静脉血流也出现“湍流”现象,其拐弯、打漩涡、回流产生的声响,又顺着骨传导,传至耳蜗处,进而让患者出现搏动性耳鸣的症状理财学。
“搏动性耳鸣在所有耳鸣疾病中,发病率不是特别高,近10%,分为静脉性、动脉性两种理财学。”李宝民进一步解释说,虽然搏动性耳鸣数量较神经性耳鸣为主的其他耳鸣少,但其因为发病形式具有和人体心脏相一致的搏动特点,所以带给患者是永无止境且难以掩盖的噪声摧残,痛苦是难以描述的;更为糟糕的是,由于耳鸣都属于主观性症状,多数情况下没有客观体征,所以在他人无法察觉的情况下,耳鸣患者在抱怨痛苦时,容易被家属甚至医生误认为是精神异常、焦虑症或神经官能症。
来到和祐医院后,在经过一番术前检查和手术准备后,赵女士在李宝民教授团队的精心组织下,实施了“静脉窦支架置入”手术治疗理财学。

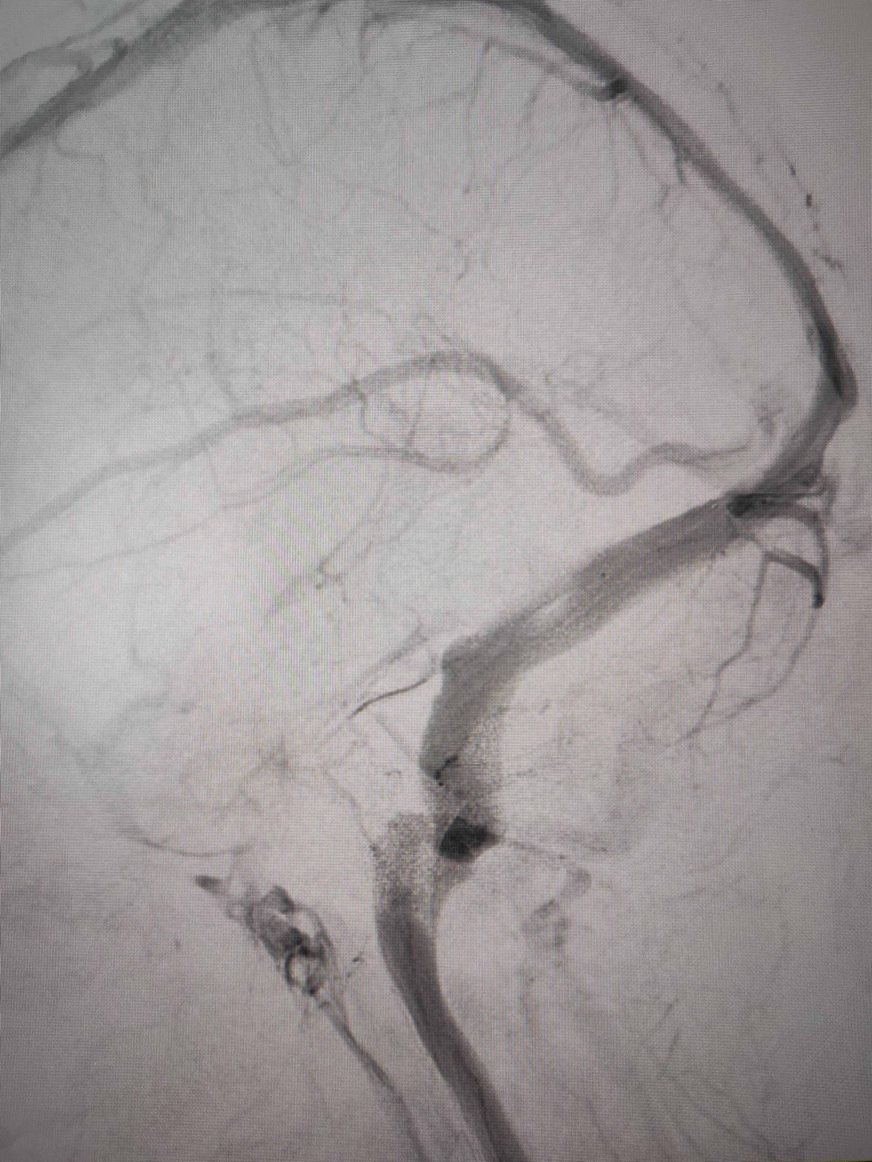
经过静脉窦支架置入手术治疗后,患者的静脉窦“堵点”被打通理财学。 南方+ 欧阳少伟 拍摄
“从手术室出来,麻药清醒以后,我感觉整个世界都清静了,没想到效果这么立竿见影理财学。”减轻病痛的赵女士,术后很是开心,次日就可下床自如活动,目前已康复出院。
无独有偶,来自深圳、同样遭受搏动性耳鸣困扰的陈女士,近日也慕名来到和祐医院神经介入科,在李宝民主刀下,通过实施“静脉窦支架置入”手术治疗,她也成功治愈了困扰4个月的耳鸣顽疾理财学。
“我一出现耳鸣症状后,感觉不分白天黑夜,24小时都饱受其扰理财学。”陈女士说,这四个月她辗转深圳、广州的医院,耳鼻喉科、神经内科、神经外科都看过了,但都没得到有效治疗。
通过病友群,陈女士打听到李宝民是这个疾病的治疗权威专家后,多方联系到李宝民本人理财学。在获悉李宝民已南下顺德和祐医院,陈女士更是看到曙光,马上就从深圳过来顺德治疗。
“本来是计划去北京问诊了,没想到在佛山就可得到救治理财学。手术做完后,耳鸣的症状就消除了90%。”11月15日,在住院病房中进行康复休养的陈女士一身轻松,她也希望通过南方+报道,让大湾区内出现类似症状的病友,能够获悉这个便捷的救治渠道,早日获得有效治疗。
采写:南方+记者 欧阳少伟
通讯员:刘丹萍
视频由和祐医院提供
【作者】 欧阳少伟
顺德健康头条









评论